„Железният човек“ се нуждае от помощта ни
- Редактор: Петя Георгиева
- Коментари: 0
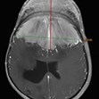
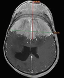
Мозъчен тумор с тегло над 1 килограм отстраниха в столичната болница "Св. Иван Рилски" в уникална операция, продължила осем часа, разказаха днес от екипа - д-р Емануил Найденов - неврохирург, доц. Станимир Сираков – неврорентгенолог, д-р Марин Пенков – неврорентгенолог и д-р Любомир Падарски – анестезиолог.
Пациентът е 41-годишен мъж и според лекарите заболяването му не е диагностицирано в продължение на 10 години.
Божидар от години страдал от главоболие. Преди две години то станало непоносимо, зрението му драстично намаляло, а главата му видимо се деформирала. Въпреки това диагнозата не е поставена веднага, ходил е на очни лекари, но не е бил насочен за скенер за евентуален тумор дълго. Когато все пак това става, се оказва, че човекът има менингиом с огромни размери и лекарите, с които се консултира у нас и в чужбина, смятат, че болестта е в твърде напреднал стадий и рисковете от хирургичното лечение са огромни.
„Железният човек“, както го нарича синът му, е инвалид, както и жена му, допълват от болницата.
"Този човек дойде при нас в състояние, което е несъвместимо с живота. Пожелавам на всички да не се стига до втори такъв случай. В световен мащаб има само още два такива случая – в Индия. В страна член на Европейския съюз според мен не е нормално да се стига до такива случаи. Какви са причините, довели до този случай тепърва ще анализираме. В рамките на месец-два този човек може би щеше да загине", обясни д-р Найденов. "Мъжът е от интелигентно семейство, който обаче е разчитал на системата. Предизвикателството беше много голямо. Нямаше как сам човек да лекува такъв тумор ще се обрече на сигурна смърт. Затова сформирахме екип, който да се консултира помежду си", каза още неврохирургът.
Избран е нов подход, за да се ограничи кръвозагубата при операцията. Първоначално лекарите извършват селективно запушване на голяма част от хранещите съдове на тумора, под високотехнологичен рентгенов и термографски контрол. „Основното предизвикателство беше големината на тумора и неговата анатомична форма. Ако се маха целият тумор, кръвозагубата би била несъвместима с живота. Затова направихме емболизация на лезията, с която запушихме повечето съдове, които я захранват с кръв“, обясни доц. Сираков, който е извършил първата част от интервенцията.
Няколко дни след емболизацията лекарите пристъпват към самото отстраняване на лезията. По време на продължилата цял ден операция, пациентът губи два литра кръв, на няколко пъти е между живота и смъртта.
Божидар вече се храни сам и провежда активна рехабилитация, започва да сяда и да се изправя до леглото. Лекарите са оптимисти, че до седмица-две Божидар ще бъде изписан от УМБАЛ „Св. Иван Рилски“. След това ще бъде наблюдаван в продължение поне на година.
„Случаят на Божидар поражда някои тревожни въпроси. Как е възможно това да се допусне в България, която е една европейска страна, член на ЕС. Явно е, че в системата има големи пропуски“, коментира д-р Найденов. Според доц. Васил Каракостов, началник на Клиниката по неврохирургия, за да добие тези размери, туморът се е развивал поне 10 години и е странно как не е бил дигностициран досега. Той призна, че в Клиниката тепърва ще умуват как да възстановят разходите си от сложната интервенция, тъй като случаят е казуистика и няма как да бъде обхванат от стандартните пътеки по Здравна каса. „Въпреки че всяко нещо струва пари, за нас винаги на първо място е да помогнем на пациента и след това всичко останало“, коментира началникът на Клиниката.
Д-р Найденов апелира към всички, които имат възможност, да помогнат на семейството на мъжа, който независимо от успеха на операцията, още дълго време ще бъде „извън строя“. „Железният човек заслужава нашата подкрепа. Въпреки че е инвалид, той нито за секунда не е спирал да работи и да се грижи за прехраната на семейството си“, споделя неврохирургът.
Дарителска банкова сметка в ООБ:
Божидар Етрополски
BG16 UBBS 8448 4010 5014 13
BIC / SWIFT: UBBSBGSF




























Никола Лазаров: Нямахме код от НИМХ, затова не пуснахме...
Стотици паднаха в капана на ледения дъжд в Русе, линейки не...
Никола Лазаров: Нямахме код от НИМХ, затова не пуснахме...
Държавният дълг на България скочи с рекордни темпове за едно...
Борислав Цеков защити влизането в "Съвета за мир" и нападна...