Хирурзи спасиха от парализа дете, неуспешно оперирано в чужбина
- Редактор: Петя Георгиева
- Коментари: 1
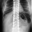
Лора няма никакви оплаквания два месеца след операцията на гръбнака
Неотложна ревизираща хирургия за смяна на компрометирана стабилизация на гръбнака на 11-годишно момиче, оперирано в чужбина, извършиха проф. Васил Яблански, началник на Клиника по ортопедия и травматология в Аджибадем Сити Клиник УМБАЛ Токуда и неговият екип, съобщиха от лечебното заведение.
Здравословните проблеми на Лора започват едва на 4 г., когато претърпява сърдечна операция. Въпреки нейния успех, тежките битки по пътя ѝ продължават. Детето страда от рядък генетичен синдром (Синдром на Коен). На 9-годишна възраст, заради нестабилност в походката, както и тежко гръбначно изкривяване, семейството на момичето е посъветвано от рехабилитатор да направи консултация със специалист от чужбина.
Без да бъдат направени образни изследвания, гостуващите лекари правят преценка, че детето страда от сколиоза и двустранни бедрени луксации. Предлагат на родителите му да му бъдат извършени операции на гръбнака и тазобедрените стави в рамките на една хоспитализация, за което предоставят оферта за лечение в чужбина. Семейството търсейки най-доброто за своето дете, решава да им се довери и събира с цената на много усилия необходимите за комбинираното хирургично лечение средства.
Хирурзите извършват оперативната интервенция на гръбнака, като поставят стандартна растяща система, която трябва да бъде разтягана оперативно на всеки шест месеца, за да може Лора да продължи да расте, докато достигне необходимата костна зрялост за осъществяването на окончателна стабилизация. Седмица по-късно детето е подложено и на операция на тазобедрените стави. След повторна хирургична намеса за ревизиране на тази в областта на ставите, както и три дистракции (оперативно разтягане на имплантите) на гръбнака, детето е в инвалидна количка, изпитва силни болки в гърба и има подутина в същата област.
Семейството започва да търси варианти за консултиране с друг специалист. След дълго проучване родителите на Лора избират да се доверят на проф. Васил Яблански, началник на Клиника по ортопедия и травматология в Аджибадем Сити Клиник УМБАЛ Токуда и на неговия екип.
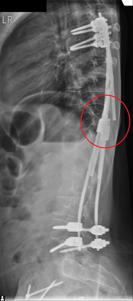
След извършване на клиничен преглед и необходимите образни изследвания става ясно, че имплантираната система е компрометирана и една от пръчките е счупена. В този случай, освен силната болка, която детето изпитва, съществуват рискове от настъпване на редица усложнения като – неврологични усложнения (пареза, парализа), псевдоартроза (несрастване на костта), прогресия на гръбначната деформация, инфекции и др. Това налага системата да бъде ревизирана и изцяло сменена в много кратки срокове.
Специалистите в Аджибадем Сити Клиник УМБАЛ Токуда изготвят необходимите документи на Лора, за да кандидатства за одобрение от НЗОК и покриване на разходите по предстоящата операция.
Проф. Яблански и неговият екип извършват ревизията и сменят компрометираната стабилизация, като поставят окончателна такава, чрез задна вертебродеза (Spinal Fusion) -„златен“ стандарт при хирургично лечение на деца със сколиоза в световен мащаб. При сливане (Fusion) на гръбначния стълб, изкривените прешлени зарастват заедно, за да създадат единична солидна кост в парвилна позиция.
Екипът установява и миграция на имплантираните винтове, в областта на тазобедрените стави, което ще наложи поредно хирургично лечение в областта на по-късен етап.
Днес, два месеца след операцията на гръбнака, детето няма никакви оплаквания и се възстановява много добре от хирургичната интервенция. Скоро екипът ще може да се заеме и с тазобедрените стави.



























Докладвай този коментар за нередност
×...: Ще ме извинявате, възможно е и да не съм прав, ама много ми звучи на ДеПеСарски електорат и операция в Турция, при все, че и с половин уста не се казва. А правилото е просто: Когато се касае за здравето ти — винаги второ мнение. А когато е за здравето на детето ти, ... изчиташ учебниците по медицина. Но явно не при всички е така.