Два лесни начина да почистите сами зъбния си камък
- Редактор: Антония Петрова
- Коментари: 0

Натрупването на зъбен камък е един от най-често срещаните козметични проблеми както при господата, така и при дамите, пише Дело.
Ако стоматологичните процедури и услуги за премахването на зъбния камък не са по джоба Ви, ето два лесни начина да се справите сами вкъщи. Излишно е да споменавам, че нито един от двата метода не включват химикали, а единствено природни продукти, залегнали в основата на алтернативната медицина.
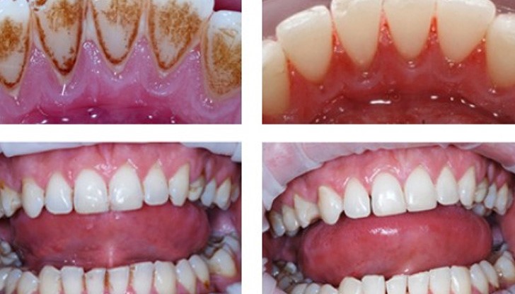
Много са факторите, които предизвикват натрупване на зъбен камък. Най-често това е неправилната хигиена на устната кухина. Ако не се почиства редовно, освен лошия дъх, зъбната плака и зъбния камък, може да си докарате по-сериозни проблеми като неприятни инфекции или парадонтоза.
Дори и да имате отлична устна хигиена, да миете редовно зъбите си, да почиствате разстоянието между зъбите с стоматологичен конец и да ползвате вода за уста, понякога зъбният камък отново се появява.
Особено ако пушите, пиете редовно кафе, а вечер червено вино и хапвате пикантни храни, плодове и сосове. Една от основните причини за появата на зъбния камък е използването на неподходяща четка за зъби.
Така дори и да си мислите, че сте почистили правилно зъбите си, се появява зъбната плака, която прави зъбите Ви да изглеждат непривлекателни, сякаш имате пломби. Зъбите пожълтяват или придобиват кафяв отенък.
Време е да научите кои са тези домашни средства, с които ще почистите зъбите си от зъбния камък лесно и бързо. Уверяваме Ви, че при тях няма никакви странични ефекти, тъй като те са безопасни и с напълно естествени средства.
След като се опитате и двата алтернативни метода на почистване и се убедите в тяхната ефикасност, не само че ще продължите да ги практикувате, но и ще ги препоръчвате горещо на приятели и познати.
Метод №1
Това, което трябва да направите е просто да сдъвкате няколко семена сусам, но без да ги гълтате. Следващото нещо е да измиете зъбите си със суха четка. Сусамените семена действат като абразивен агент, който ще почисти зъбите Ви от неприятната плака и зъбния камък.
Метод №2
Поставете малко морска сол върху четката и измийте зъбите си. Изплакнете устата си със студена вода. Правете този метод 2-3 пъти седмично, за да постигнете оптимални резултати.
























Община Русе: Започнахаме почистването на улиците
Пенчо Милков: Малък Сечко идва с оранжев код в област Русе
Мартин Иванов: Народният съд е бил политическа акция за...
Дмитрий Медведев: Европейските държави не успяха да победят...
Мартин Иванов: Народният съд е бил политическа акция за...