Мъж живее цял живот с половин мозък
- Редактор: Петя Георгиева
- Коментари: 0

60-годишен баща на две деца живее цял живот с половин мозък, твърдят доктори.
Руският пенсионер изобщо не подозирал, че в лявото му полукълбо на черепа е празна кухина. Инженерът е служил в Червената армия, завършил е успешно университет и е изградил семейство без никакви здравословни проблеми.
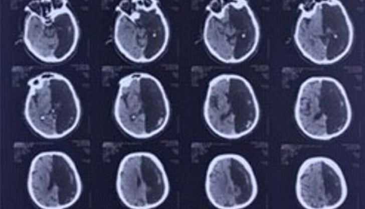
Медиците в Москва откриват този разтърсващ факт по време на компютърна томография на мозъка, след като пациентът е приет в болница след микроинсулт, пише "Дейли мейл", предава 24 часа.
Изключително рядко липсващите части от мозъка причиняват тежка степен на инвалидност или ранна смърт, още в детска възраст. Но случаят с този човек, без почти никакви симптоми, е уникален, казват лекарите.
Дефектът вероятно се е образувал още по време на ембрионалното развитие на плода, коментират още специалистите. Ако технологията бе достатъчно напреднала през 50-те години, за да го забележи, сигурно щяха да посъветват майката да абортира, добавят те.
"Пациентът е приет в болница в южната част на Москва след исхемична атака. Това е нарушение на кръвообръщението в мозъка. Мъжът имаше проблеми с движението на ръката си и крака", обяснява невроложката д-р Марина Аникина.
"Рентгенолозите правят компютърна томография на главата му и са озадачени - частта от мозъка на пенсионера, където се предполага, че исхемичната атака се е случила, изобщо не съществува. Вместо лявата част от мозъка на компютърната графика се вижда черно петно - кухина", казва още тя.
Докторите стигат до заключението, че през целия живот на мъжа дясната част от мозъка му е изпълнявала всички функции. По принцип лявата страна на мозъка контролира дясната страна на тялото и се справя със задачи, свързани с логиката, например наука и математиката.
Руснакът заявил пред медиците: "Живял съм нормален живот, нищо не ме е притеснявало".
Той споделил, че имал нормално детство, без никакви проблеми, свързани с неговото физическо и психическо развитие или зрение.
Успешно завършил училище и постъпил в университет, който завършил с диплома за инженер. След това служил в съветската армия, а до пенсия изкарал като специалист по професията си във фабрика.
"Очевидно при загубата на едното мозъчно полукълбо в този случай, другото се е сдобило с всичките функции", коментира д-р Аникина.
Не е изяснено какво изпълва черната кухина в мозъка му. В подобни редки състояния детето се ражда без част от твърдата тъкан на мозъка и течност запълва мястото й.
























Очакват масови съкращения и фалити на фирми в Русенско
Велислава Петрова е номинацията за външен министър в...
Велислава Петрова е номинацията за външен министър в...
Пенчо Милков: Арменската общност е неделима част от Русе
Правителството спасява поречието на Дунава от комари с 1,2...