Ето го бебето, което се роди ... два пъти!
- Редактор: Анна Тороманова
- Коментари: 0
Линлий Хоуп е истинско чудо на медицината. Тя щеше да е като всяко друго бебе, ако не се беше родила... два пъти. Заради заболяване лекарите вадят бебето от утробата на майка му, оперират го и го връщат обратно, за да се роди нормално, когато му дойде времето.
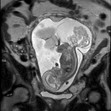
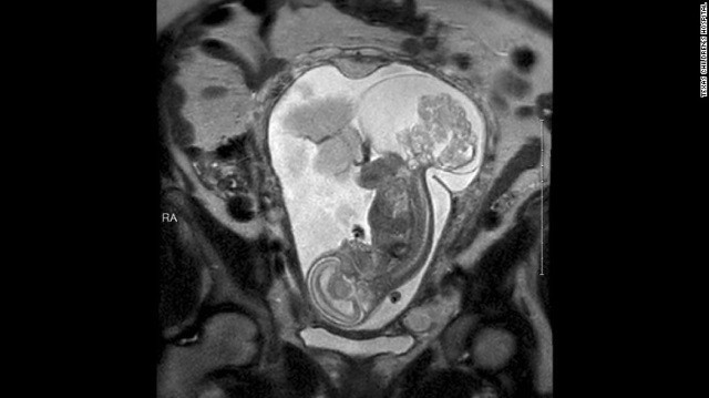
Майката Маргарет Бумър разбира, че има проблем при профилактичен преглед в 16-ата седмица от бременността. Тогава тя чува тежката диагноза на бебето си – сакрококцигеален тератом.
„Беше шокиращо и плашещо, защото не знаехме какво означава тази дълга дума”, разказва Маргарет пред Си Ен Ен.
Сакрококцигеалният тератом е тумор на опашната кост, който се развива още преди раждането на бебето. Това е най-често срещаното туморно образувание при новородените според д-р Дарел Кас от Центъра по детски болести в Тексас. Появява се при едно на 35 000 деца, повечето от които – момичета.
В някои случаи туморът може да бъде отстранен след раждането, твърдят лекарите, но обясняват, че той може сериозно да увреди плода заради проблеми с кръвообръщението.
„Туморът расте, като „изсмуква” кръв от бебето (…) Често сърцето не може да издържи и детето умира”, разказва д-р Кас.
В случая на Маргарет туморът на бебето ѝ ставал все по-голям, така че спешно трябвало да се направи нещо.
Въпреки че други доктори я съветват да прекъсне бременността си, д-р Кас и екипът му ѝ предлагат различна възможност – да оперират плода, макар шансовете бебето да оцелее да са малки.
Жената не се колебае и бързо решава, че иска да даде шанс за живот на детето си. Тя се подлага на операцията в 23-ата седмица от своята бременност.
За да отстранят тумора, лекарите изваждат плода от утробата на майката. Това се оказва изключително опасно, тъй като всички околоплодни течности изтичат.
В продължение на цели пет часа докторите работят внимателно, стараейки се и плодът, и родилката да останат невредими. Операцията се оказва много сложна и тежка – сърцето на бебето почти спира, но специалистите не се отказват и в крайна сметка я завършват успешно.
Маргарет прекарва останалата част от бременността си на легло със силни болки. 12 седмици по-късно обаче дъщеря ѝ Линлий Хоуп се появява на бял свят… отново.
Малката героиня, кръстена на двете си баби, тежи около 2,5 кг. След специален преглед лекарите установяват, че тя е в добро здраве, но е необходимо да бъде оперирана още веднъж. Причината за това е, че остатъците от тумора, до които хирурзите не могли да достигнат първия път, започват да растат.
Така само на осем дни малката Линлий претърпява още една операция, която, за щастие, е също успешна.
След нея бебето бързо се възстановява и няколко седмици по-късно е изписано. Маргарет разказва пред Си Ен Ен, че сега дъщеря ѝ е в добро здраве.
„Беше много трудно”, споделя тя, но добавя, че да види как малката Линлий се смее заедно със сестрите си, „си е струвало всяка болка”.





























Община Русе преустановява плащанията в брой от 5 януари
Русия забранява телефонните разговори с "враждебни" държави
ВиК – Русе спира временно плащанията заради въвеждането на...
Жители на Ветово излязоха на митинг с призив "Не на...
Жители на Ветово излязоха на митинг с призив "Не на...