В УМБАЛ „Канев“ направиха първото си безкръвно лечение на вазоренална хипертония
- Редактор: Петя Георгиева
- Коментари: 0
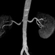
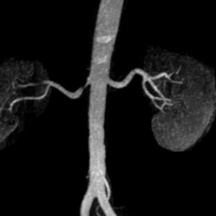
В Отделение Съдова хирургия беше извършено безкръвно лечение на жена с вазоренална хипертония
За първи път в УМБАЛ „Канев“ беше извършено безкръвно лечение на вазоренална хипертония. Това е състояние, при което високото кръвно налягане се дължи на стеснение на бъбречна артерия.
Съдовият хирург д-р Стоян Генадиев, дм, сподели, че пациентката, която е само на 48 години, поддържала кръвно налягане над 180/100 мм/Жв, въпреки приемът на три антихипертензивни медикамента в максималната им доза.
Д-р Генадиев обясни, че този тип процедури не изискват обща анестезия, няма оперативни разрези, пациентите се раздвижват шест часа след процедурата и няколко дни по-късно могат да се върнат към нормалния си начин на живот. Днес пациентката беше изписана от отделението с кръвно налягане 120/90 мм/Жв, без да се налага да приема лекарства.

























Българките раждат най-много в Европа, но нацията изчезва
Токът скача с близо 77% до рекордни нива за утре
Областният управител дари "Пасат" втора ръка на...
Общините получиха пълна власт над 5.8 милиона декара...
Цените в София догонват Ню Йорк въпреки спада в класацията...