Доктор показа снимка на белите дробове на починал млад мъж от COVID-19 и апелира: Не вярвайте на врели-некипели!
- Редактор: Петя Георгиева
- Коментари: 0
На въпрос защо не се е ваксинирал, пациентът отговорил, че се притеснявал за репродуктивните си способности
Преди дни 27-годишен пациент с COVID почина в ИСУЛ „Царица Йоана“. Пред лекарите той заявил, че е ваксиниран и има зелен сертификат. След като състоянието му рязко се влошило, медиците се усъмнили в димите му.
Д-р Кирил Пеев разказа в „Тази сутрин“, че след сериозен разпит на пациента, той си признал, че има фалшив COVID сертификат. На въпрос защо не се е ваксинирал, младият мъж отговорил, че се притеснявал за репродуктивните си способности.
„При една от визитациите той беше в стаята без маска, когато го попитах защо е без, той отговори, че не му е необходим кислород, защото изгарял белия дроб. Това е абсурд, той доставя необходимата храна за клетките и тъканите, за да може организмът да се възстанови“, каза д-р Пеев.
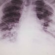
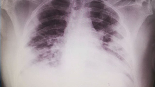
Медикът показа рентгенова снимка на белите дробове на пациента, на която се вижда, че има частична загуба на тъкан в органа, която води до дихателна недостатъчност. Лекарят апелира да не се вярва на конспиративните теории, защото те могат да бъдат опасни.
Той обясни, че в лечебните заведения няма практика да се проверява с тестове дали даден пациент е наистина ваксинират, разчита се на честната дума. Д-р Пеев посочи, че все по-често се хоспитализират COVID болни с фалшиви сертификати.

























Русе стартира процедура за избор на официален девиз на града
Русе стартира процедура за избор на официален девиз на града
Илиян Василев: "Генерал" Борисов е виц, а званията в МВР са...
Илиян Василев: "Генерал" Борисов е виц, а званията в МВР са...
Русе стартира процедура за избор на официален девиз на града