Русенски ортопеди използваха иновативен метод за лечение на тежки фрактури на коляното
- Редактор: Звездомира Николова
- Коментари: 0
Русенски ортопеди използваха иновативен метод за лечение на тежки фрактури в областта на колянната става, съобщи пред журналисти доц. д-р Йордан Андонов от Клиниката по ортопедия и травматология към УМБАЛ „Канев“ в Русе, цитиран от Монитор
Методът е приложен при пациентка на 53-годишна възраст с изразена остеопороза поради ранна менопауза. При падане по стълбище жената получила тежко счупване на коляното в „неудобната“ за ортопедите задна област.
При тези случаи, за да се достигне до раздробяването, се налага прекъсване на малката кост на подбедрицата, което отваря достъп до задната част на коляното, обясни доц. Андонов.
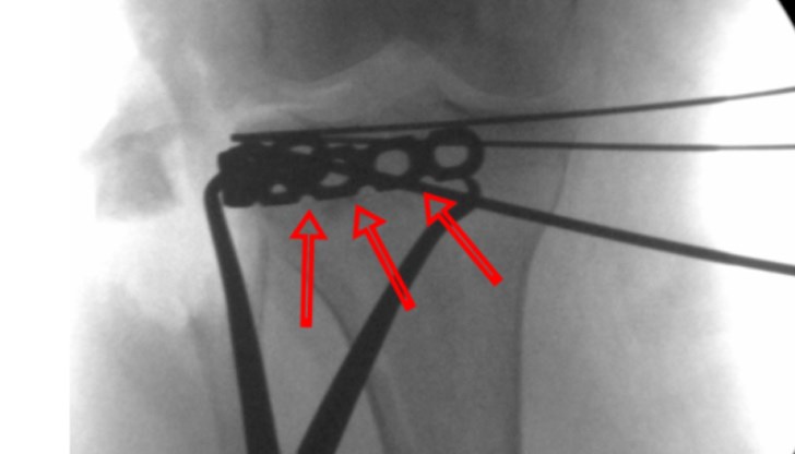
„С кост от таза на пациентката се попълни образувалия се дефект. Иновативното в случая е начинът, по който се фиксира цялата конструкция от присадена кост и фрактура с т. нар. рим плака. Тази плака като корона обхваща горния сегмент на подбедрицата и осигурява разнопосочно прокарване на винтовете, които изпълняват ролята на подпора за постигнатото наместване“, допълни той.
По думите на доц. Андонов хирургия на такъв вид фрактура се прави навсякъде, но на русенския екип не е известно някъде в България да се прави фиксацията по този начин с иновативния имплант. Предимството на метода е, че е лесен и позволява ранно раздвижване на ставата, като скъсява с месеци възстановителния период.























Разрушени ограничители на централна спирка застрашават...
Стефка Костадинова остава без място в парламента
Румен Радев събра над 42 000 гласа в Русе
Ангел Мавровски: Месо от заразени с антракс животни е...
Опасни настилки спъват деца на площадки в квартал „ЦЮР“