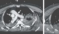
Мъж живя осем години с нож в гърдите си, без да разбере
Харесвания: 0
Коментари: 0
Харесвания: 0
Коментари: 0
Харесвания: 1
Коментари: 0
Харесвания: 0
Коментари: 0
Харесвания: 1
Коментари: 0
Харесвания: 0
Коментари: 0
Харесвания: 0
Коментари: 0
Харесвания: 0
Коментари: 0
Харесвания: 0
Коментари: 0
Нямам търпение да почнат да обявяват бедствено положение заради преспи от 3 сантиметра и арктически температури от минус два градуса.
Полека-лека от парка ни ще остане само Вазата
Полека-лека от парка ни ще остане само Вазата
Полека-лека от парка ни ще остане само Вазата
Премахват атракционните влакчета от центъра на Русе
Премахват атракционните влакчета от центъра на Русе