Мъж разкъса трахеята си при кихане
- Редактор: Петър Симеонов
- Коментари: 0

Опитът да заглушим кихането си може да не е най-добрата идея
Има много моменти, в които бихме предпочели да задържим кихането си – докато шофираме, по време на изпит или на важна среща. Оказва се обаче, че опитът да се заглуши кихането може да не е най-добрата идея и скорошен случай документира един мъж, който в крайна сметка разкъсал малка дупка в трахеята си, когато го направил.
Изпитвайки сенна хрема, мъжът усетил, че ще кихне, докато шофирал колата си. Вместо това, той го потиснал, като стиснал носа си и затворил устата си – разбираемо, като се има предвид, че очите ни обикновено се затварят, когато кихаме, нещо като неудобство, като се има предвид, че ни трябват отворени, за да шофираме. Веднага след това обаче мъжът започнал да изпитва силни болки във врата и подуване, пише VESTI.
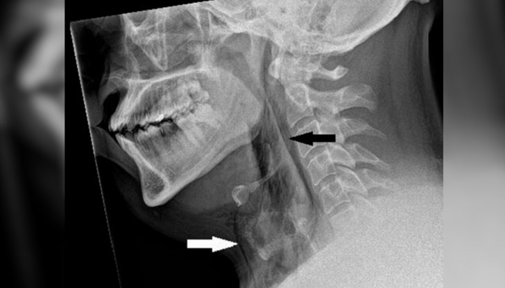
Когато стигнал до спешното отделение, болката и подуването все още били налице и въпреки че нямал проблеми с говора, преглъщането или дишането, той също имал ограничен обхват на движение на врата си. Когато приложили натиск върху областта, лекарите чули и леко пращене, известно като крепитус.
След това медицинският персонал извършил рентгенова снимка, която разкрила хирургичен емфизем; често причинено от нараняване, това е, когато въздухът навлезе и се задържа под кожата. Компютърна томография, извършена веднага след това, открива разкъсване на трахеята на мъжа с дължина 2 милиметра, ширина 2 милиметра и дълбочина 5 милиметра.
In world's 1st known case, man tears windpipe from holding sneeze https://t.co/e3SDtVahnS
— Live Science (@LiveScience) December 11, 2023
Смята се, че инцидентът е първият известен случай за този вид нараняване, известно като спонтанна перфорация на трахеята, причинено от задържане на кихане. Затваряйки носа и устата си, се смята, че мъжът може да е увеличил налягането в горните си дихателни пътища повече от 20 пъти от нормалното количество, което се усеща по време на кихане, като силата разкъсала малката дупка в трахеята му.
Въпреки че мъжът не се нуждаел от операция и бил изписан след два дни наблюдение, нараняването било напълно заздравяло след проследяване пет седмици по-късно, авторите на доклада за случая препоръчват на хората да приемат инцидента като предупреждение.
„Всеки трябва да бъде посъветван да не заглушава кихането си, като стиска носа, докато държи устата си затворена, тъй като това може да доведе до перфорация на трахеята“, пишат те.
Въпреки че този конкретен случай на спонтанно разкъсване на трахеята е наблюдение за първи път, това може да се случи по причини, различни от кихане. Спонтанни разкъсвания могат да възникнат в резултат на физическа травма, или чрез нараняване, или след хирургични процедури. За щастие обаче, това също е много рядко, само с няколко докладвани случая.
И все пак, когато следващия път почувствате кихане, може би по-добре не го задържайте – трахеята не е единственото нещо, което може да се разкъса.























